
Pour des caries superficielles, l’anesthésie n’est pas toujours nécessaire lorsque l’on utilise un rayonnement laser.
Fig. 8
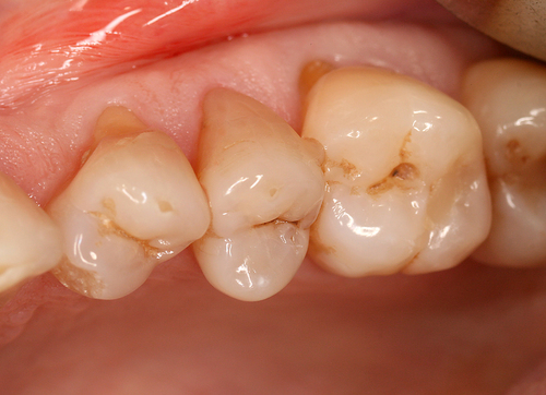
Si le praticien utilise un laser absorbé, type Erbium Yag, il peut vaporiser les tissus cariés (fig.9)
Fig. 9
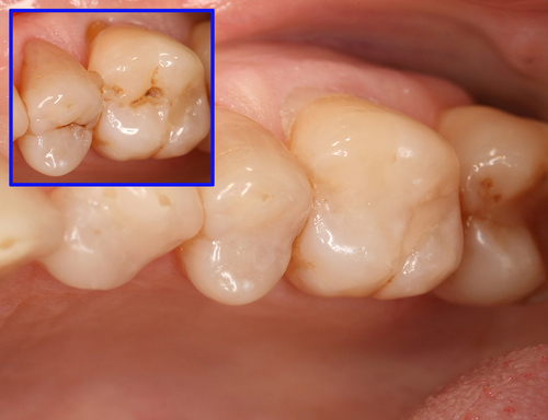
Les tissus cariés sont vaporisés par le laser Er YAG
et effectuer des obturations esthétiques dans la même séance en ayant préservé au maximum les tissus vivant de la dent (fig.10).
Si le praticien utilise un laser pénétrant, type Diode, il peut décontaminer une cavité de carie et « durcir » la dentine résiduelle afin de préserver la vitalité dentaire et éviter les récidives de caries.
Fig. 10
Il appartient au praticien de choisir le type de rayonnement qui convient au cas particulier.
IMPORTANT : les lasers ne peuvent pas tout faire et les instruments rotatifs comme les turbines sont tout à fait d’actualité pour la majorité des actes de dentisterie.
Les rayonnements laser ne sont ici qu’une complémentarité qui permet non pas de faire plus, mais de faire mieux !